L'utilisation de brossettes interdentaires permet un nettoyage approfondi des espaces situés entre les dents et peut éviter une récidive de parodontite
Vidéos 3D
Après préparation de gouttières ajustées à sa dentition, le patient utilise chez lui un gel actif de blanchiment qu'il injecte dans cette gouttière
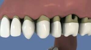
La couronne sur implant recouvre le pilier d'un implant dentaire, comme sur une dent naturelle, afin d’en restaurer l'esthétique et la fonction
Comment notre super héros va-t-il combattre les bactéries qui s'infiltrent dans les sillons ?
Affichage des articles 1-6 sur 17





